ブログ
院長ブログ
箕面市小野原で小児歯科をお探しの方へ|見逃したくない異所萌出のサイン
子どもの歯の生え方が心配な保護者の方へ
〜「異所萌出(いしょほうしゅつ)」をやさしく解説します〜
箕面市小野原・江口歯科医院
「歯がなかなか生えてこない」
「左右で生え方が違うけど大丈夫?」
子どもの歯の生え変わりは、成長の一部とはいえ、心配になりますよね。
その原因の一つに、異所萌出と呼ばれる状態があります。
異所萌出とは、永久歯が本来生えるべき位置とは違う場所や方向から生えてくることをいいます。
特に注意したいのが、上顎の6歳臼歯(第一大臼歯)と上顎犬歯です。
Q1. 異所萌出って、よくあることなんですか?
A. 決して珍しいものではありません。
上顎の6歳臼歯では、約4〜5%のお子さんに異所萌出がみられるとされています。
犬歯も、生える位置がズレやすい歯のひとつです。
大切なのは、
👉 **「あるか・ないか」よりも「早く気づけるか」**です。

Q2. 6歳臼歯が片方だけ生えていません。異所萌出の可能性はありますか?
A. 可能性はあります。一度確認しておくと安心です。
6歳臼歯は、乳歯のさらに奥から生えてくる永久歯です。
- 左右で生える時期が大きく違う
- 奥歯の一部しか見えていない
- 歯が乳歯に引っかかっているように見える
こうした場合、6歳臼歯が異所萌出を起こしていることがあります。
7歳前後で確認できれば、
簡単な対応で自然な萌出を助けられるケースも多くあります。
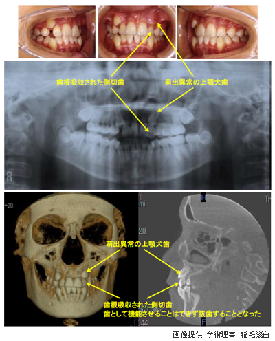
Q3. 犬歯の異所萌出は、なぜ注意が必要なのですか?
A. 隣の前歯の根に影響することがあるからです。
上顎犬歯は、生える位置がズレると、
隣の側切歯(前から2番目の歯)の根を押してしまうことがあります。
その結果、
✔ 歯の根が溶ける(歯根吸収)
✔ 前歯が傾く
といった問題が起こることもあります。
9〜10歳頃に
歯ぐきのふくらみ(バルジ)やレントゲンでの位置確認を行うことが大切です。

Q4. 異所萌出が見つかったら、すぐ矯正が必要ですか?
A. いいえ。多くの場合、様子を見ながら判断します。
早期に発見できれば、
- 乳歯を適切な時期に抜く
- 簡単な装置で歯の向きを誘導する
といった負担の少ない方法で対応できることも少なくありません。
「大がかりな矯正になる前に防ぐ」
これが、小児期にチェックを行う大きな目的です。
Q5. どのタイミングで歯科医院に相談すればいいですか?
A. 次の年齢がひとつの目安です。
- 7歳前後:上顎第一大臼歯(6歳臼歯)
- 9〜10歳:上顎犬歯
症状がなくても、
節目の年齢でレントゲンを含めた確認をしておくと安心です。
箕面市小野原でお子さんの歯の生え方が気になったら
江口歯科医院では、
- 成長段階に合わせた診断
- 必要以上の治療は行わない方針
- 保護者の方にも分かりやすい説明
を大切にしています。
「相談だけでもいいのかな?」
そう思われる段階で、ぜひ一度ご相談ください。